Aujourd’hui le cancer est un problème de santé majeur. Aux États-Unis, il est la seconde cause de mortalité et près d’un homme sur deux et d’une femme sur trois aura un cancer au cours de sa vie. De plus, la sédentarité et la mauvaise alimentation dont nous sommes victimes aujourd'hui ont permis la croissance de ce risque ces dernières années. Forte heureusement, grâce aux avancées de la médecine, beaucoup de cancer sont guéries de nos jours. Néanmoins, les chances de guérison d’un patient dépendent énormément du moment où le cancer est diagnostiqué. En effet, plus il sera détecté tôt et plus les chances de guérison de ce dernier seront élevées.
Pour diagnostiquer le cancer, les médecins utilisent l’analyse histopathologique, celle-ci consiste à prélever un tissu malade sur le patient (biopsie) et à l’observé au microscope afin de détecter et de quantifier les cellules cancéreuses. Il est très important lors des stades précoces du cancer de savoir distinguer les cellules cancéreuses des cellules saines.
Lors de l’examen de l’échantillon sous le microscope, le pathologiste cherchera notamment la présence d'anomalies dans la structure des cellules où des changements dans la distribution de ces dernières. Ce diagnostic est très subjectif, car pour l’effectuer le médecin se repose principalement sur son expérience et donc cela mène à une énorme variabilité de l’analyse d’un pathologiste à l'autre. C’est pourquoi afin de normaliser ce processus d’analyse, il est important d’automatiser le diagnostic du cancer à l’aide d’outils logiciels capables de réaliser des mesures quantitatives permettant ainsi au médecin d’avoir un jugement objectif de la situation du patient.
Un tel résultat est aujourd’hui possible grâce aux avancées de l’intelligence artificielle.
Avant de vous parler de comment l’intelligence artificielle permet d’accélérer l’analyse histologique et de détecter des cancers invisibles à l’oeil nu, je vais d’abord vous expliquer comment se déroule une analyse histologique de A à Z.
Généralement, la procédure utilisée pour l’analyse histologique est la suivante :
1- Un échantillon de tissus malade est prélevé sur le patient
2- Des agents chimiques sont utilisés pour stopper l’évolution des cellules présentes dans l’échantillon
3-L’échantillon est successivement immergé dans des bains d’alcool à concentration croissante dans le but de le déshydrater. Enfin, il est plongé dans du xylène afin de pouvoir infiltrer de la cire dans ce dernier.
4- De la cire est introduite dans l’échantillon, cela permet de stabiliser le tissu pour plusieurs années.
5-Léchantillons est introduit dans un microtome afin d’être divisé en plusieurs sections d’une taille de 5 à 15 μm. L’histologiste sélectionne ensuite les sections qu’il étudiera et les monte sur lame de microscope.
Cette procédure peut varier énormément d’un hôpital à un autre, mais également beaucoup selon le but de l'histologiste qui l’effectue. Il s’agit d’une procédure longue et laborieuse pouvent nécessiter plusieurs heures et quelque fois plusieurs jours pour un petit échantillons de tissues. Forte heuresement, elle sera souvent automatisé car le processus d’analyse généralement employé par un spécialiste ne varie par d’un échantillon à l’autre.
Une fois la procedure terminées, Différent type de traitement peuvent être appliqué la lame final Historadiographie, Immuno histochemistry, Electron microscopy mais dans cette article je vous exposerais que principalement celui fait aux microscope optique.
Le spécialiste peut choisir d’étudier sa lame a l’oeil nue, où de la scanner et donc de la regarder sur son écran d’ordinateur.
Voilà, ce à quoi peut ressembler une lame numérisée :

L’accessibilité aux technologies d’IA se fait de plus en plus croissante notamment grâce à tous les outils libres et gratuits tels que TensorFlow, Scikit-Learn, Weka, etc. Cela a permis sa rapide expansion, mais également la démocratisation de système d’aide à la décision médical.
Ces derniers permettent au personnel soignant de trouver sur la base de données d’anciens malades les traitements les mieux adaptés pour une guérison rapide des nouveaux patients.
Aujourd’hui, l’IA est beaucoup plus précise qu’un spécialiste de santé quand il s’agit de détecter sur une image au pixel près les premiers signes d’une maladie.
Grâce à cela, il est possible de prendre en charge les patients de plus en plus tôt avant même que les premier symptome de la maladie ne soit encore apparu.
La vision par ordinateur regroupe l’ensemble des outils mathématiques et algorithmiques permettant d’extraire, de modifier, d’ajouter ou de supprimer des informations contenues dans une image. De manière générale, un programme de vision par ordinateur est constitué de 5 grandes étapes le prétraitement, la segmentation, l’extraction de caractéristiques, la classification et le post-traitement.

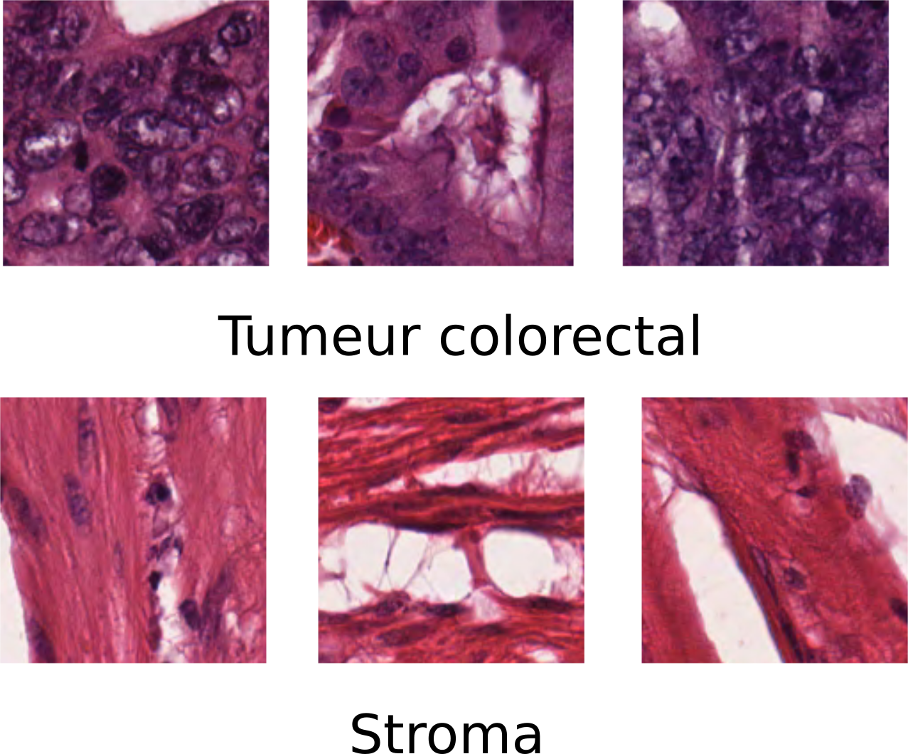
La segmentation est l’étape durant laquelle les objets d’intérêt sont détectés puis extraits de l’image. Dans le cas ci-dessus la segmentation a simplement découpé l’image du tissue qui à l’origine mesurait 5000*5000 pixels a été découpé en sous-image de 50 x 50 pixels. Le but de cette segmentation est probablement de savoir avec précision jusqu’ou le tissu a été infecté par la tumeur.
Les objets précédemment extraits de l’image sont analysés afin d’en retirer des mesures pertinentes descriptives du problème à traiter. Dans le problème ci-dessus, les informations qui seront extraites seront des informations de texture et de couleurs. Car l’on peut remarquer que la texture et la couleur de l’échantillon changent selon que la zone traitée soit infectée ou pas.
La classification permettra de savoir à partir des informations précédemment extraites si la zone traitée est affectée où non.
Une fois que la gravité des dégâts a été estimée, le logiciel d’aide à la décision propose un ou plusieurs protocoles de traitement au médecin.